vol.01 脳の画像診断法(特にMRI,MRA)について
当院は神経内科として、脳の画像診断をよくやります。
たとえば、めまい、頭痛、手足のしびれ、記憶障害などの症状を診た場合、
脳の病変が疑われたり、脳病変を否定したいことがよくあります。逆に認知症や、
脳梗塞、脳出血、脳腫瘍などの診断には今や必須の検査法です。
また、症状がなくとも無症状の脳梗塞が観られることもあります。
脳ドックというものがありますが、その検査の主たるものは頭部のMRI、MRAです。
MRIとはMagnetic Resonance Imaging の略で訳せば磁気共鳴画像法です。
MRAとはMagnetic Resonance Angiography の略で磁気共鳴血管撮影法です。
原理を簡単に言えば大きな磁石の中に入り、電磁波をかけたりはずしたりして、
人体組織のなかにある水素原子核の共鳴の変化をとらえ、それをコンピュータで計算し
画像化する方法です。脳の組織は、灰白質、白質、脳脊髄液、血管、髄膜、硬膜、骨など
いろいろありますが、それらを適確に分けて画像化するのでよく観えます。
また病気と正常状態の区別もはっきりできるようになりました。
 |
 |
 |
 |
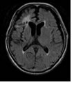
| 図①:正常のMRI画像。 |
図②:脳梗塞が右半球
に観られます。 |
図③:正常のMRA画像
脳血管だけがよく
観えます。 |
図④:狭窄した血管が
観えます。 |
欠点としては、磁石を使うので体にペースメーカーなどの金属が入っていると、
それが動いたり雑音を出したりするため、危険だったり精度が落ちたりするため検査できません。
また、狭い場所に頭を入れる機械が多く、閉所恐怖症の方はできないこともあります。
検査時間は20~30分くらいです。
検査費用は医療保険がきいて3割負担の人では8000円ぐらい。
高血圧や脂質異常症や糖尿病など脳梗塞の危険因子を持っている人は、
無症状脳梗塞の発見にもMRIがお勧めです。
当院では必要があれば世田谷区保健センターやメディカルスキャニング(渋谷)などの
検査専門機関に紹介します。

世田谷区太子堂にて神経内科・内科・訪問診療(在宅医療)クリニックを開院。
皆様のホームドクターとして、高血圧、高脂血症、糖尿病などをはじめとする
生活習慣病の予防・治療から、脳梗塞や難病などで寝たきりの患者の在宅療養支援まで、
地域に密着した医療を目指しています。
お気軽にご相談・ご来院ください。
ながしまクリニック 内科・神経内科
院長 長嶋 勝
〒154-0004 世田谷区太子堂3丁目38-18
アパートメンツ三軒茶屋1階
Tel:03-5433-3818
http://www.nagashimaclinic.jp
